«Πρώτα σαν άνθρωπος και μετά σαν ιατρός έχω σοκαριστεί με το περιστατικό αυτό»

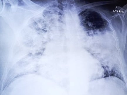
Δημοσιεύοντας την ακτινογραφία ενός ασθενούς με COVID-pneumonia, που δυστυχώς κατέληξε στη ΜΕΘ του Γ.Ν. Λευκωσίας, ο πνευμονολόγος Δρ Αλέξης Παπαδόπουλος παραθέτει τους δύο λόγους για τους οποίους έκανε την εν λόγω ανάρτηση.

Article featured image
Article featured image

Πιο κάτω αυτούσια η ανάρτηση.

Παρασκευή βράδυ… εφημερία στο θάλαμο COVID του Γ.Ν. Λευκωσίας. Από τις φορές που έχω εφημερεύσει στο νοσοκομείο, για πρώτη φορά βλέπω τα πράγματα να μην είναι τόσο καλά. Πολλοί ασθενείς, οι περισσότεροι σοβαρά, άλλοι λιγότερο.

Κατεβαίνω στη βραχεία νοσηλεία (εκεί που πρωτο-υποδέχονται τα ύποπτα ή και γνωστά θετικά περιστατικά COVID). Αξιολογούμε μαζί με τις ειδικευόμενες δύο περιστατικά και ετοιμαζόμαστε να φύγουμε. Ο γιατρός της βραχείας μάς λέει ότι το ασθενοφόρο φέρνει από σπίτι έναν ασθενή θετικό, με πολύ χαμηλά επίπεδα οξυγόνωσης. Φεύγουμε και περιμένουμε την κλήση για να επιστρέψουμε. Όντως, μετά από λίγη ώρα μας καλούν να πάμε πίσω. Ο ασθενής, κοντά στα 60 έτη, χωρίς ιδιαίτερα προβλήματα υγείας… Μια παρένθεση εδώ: ο ασθενής αυτός είχε μόνο αρτηριακή υπέρταση, καλά ρυθμιζόμενη, με ένα μόνο αντιυπερτασικό χάπι. ΔΕΝ πρέπει να θεωρείται «υποκείμενο νόσημα» η καλά ρυθμιζόμενη αρτηριακή υπέρταση… δεν καταλαβαίνω τη λογική πίσω από αυτές τις αναφορές.

Ο ασθενής, όντως, δεν μπορούσε να ανεβάσει πάνω από 72% επίπεδα οξυγόνωσης στο αίμα με τη μέγιστη χορήγηση οξυγόνου (ας μην μπούμε σε λεπτομέρειες για το τί είναι αυτά… ιατρικά, είναι μια πολύ κρίσιμη κατάσταση). Μπορούσε να μιλήσει, αλλά σίγουρα όχι πάνω από 3-4 λέξεις συνεχόμενες. Αποφασίζουμε μετά τη συγκατάθεση των εντατικολόγων να προχωρήσουμε σε διασωλήνωση. Μια από τις γιατρούς τον ενημερώνει και του λέει να μιλήσει με την οικογένειά του, για να πάρει κουράγιο ο ίδιος αλλά και οι δικοί του άνθρωποι. Τον καθησυχάζει εξηγώντας του ότι όλα θα πάνε καλά, θα αντιμετωπιστεί η φλεγμονή των πνευμόνων και μόλις ανακάμψει, θα τον ξυπνήσουν από το «τεχνητό κώμα» οι εντατικολόγοι. Μετά τη διασωλήνωση, μιλώ και εγώ με τους δικούς του εξηγώντας ότι είναι ένας άνθρωπος που θεωρείται ιατρικά νέος, χωρίς προβλήματα υγείας, οπότε πιστεύω θα πάνε όλα καλά.

Ο άνθρωπος οδηγείται διασωληνωμένος πια στην μονάδα εντατικής θεραπείας, στα πολύ καλά χέρια των συναδέλφων εντατικολόγων.

Εμείς συνεχίζουμε τη δουλειά μας, και κατά τις 2 το βράδυ πάμε για ύπνο. Δεν περίμενα ποτέ ότι το πρωί, η ώρα 7 που κατέβηκα και πάλι κάτω στο θάλαμο COVID, θα μου έλεγαν ότι ο άνθρωπος αυτός πέθανε μετά από λίγες ώρες στη μονάδα εντατικής θεραπείας.

Πρώτα σαν άνθρωπος και μετά σαν ιατρός έχω σοκαριστεί με το περιστατικό αυτό. ΠΟΤΕ δεν έχω ζήσει, να έρχεται υγιής ασθενής 59χρονών στο νοσοκομείο, με σοβαρή πνευμονία και να καταλήγει μετά από λίγες ώρες. Ιατρικά, ούτε τα πλέον πολύ-ανθεκτικά στελέχη μικροβίων δεν έχουν αυτή την κατάληξη.


Γιατί θέλησα να πω όλη αυτή η ιστορία; Για δύο λόγους:

  1. Έχω επιλέξει ένα χρόνο τώρα να μη μιλάω καθόλου για αυτά που συμβαίνουν γύρω μας. Δεν μπαίνω καθόλου σε συζητήσεις όταν ακούω ανθρώπους να αρνιούνται την ύπαρξη του COVID-19, ή να συζητούν για τα αρνητικά των εμβολιασμών, χωρίς κανένα επιστημονικό υπόβαθρο. Η συμβουλή μου είναι να προχωρήσουμε άμεσα και μαζικά όλοι σε εμβολιασμό. Είναι τραγικό να ζούμε μια πρωτόγνωρη κατάσταση σαν αυτή, να υπάρχουν διαθέσιμα εμβόλια, και να παραμείνουν παρτίδες εμβολίων αδιάθετες. Οι μεγαλύτερες ηλικίες έχουν κάνει μια καλή αρχή. Οι νεαρότεροι δεν πρέπει να νοιώθουν άτρωτοι, για έναν ακόμη λόγο. Φαίνεται ότι οι καλές αναπνευστικές τους εφεδρείες, τους οδηγούν στα νοσοκομεία πιο αργά από ότι θα περιμέναμε, χάνοντας ιατρικά πολύτιμο χρόνο στην αντιμετώπιση της COVID- πνευμονίας.

  2. Για να επαινέσω αυτούς τους που αντιμετωπίζουν μέρα-νύχτα τα σοβαρά αυτά περιστατικά. Και πιστέψτε με, αυτοί είναι πίσω από τα φώτα της δημοσιότητας, αλλά είναι ο κύριος πυλώνας αντιμετώπισης της πανδημίας. Είναι η ομάδα των λοιμωξιολόγων του Γ.Ν. Λευκωσίας, είναι οι ειδικευόμενοι ιατροί που έχουν επιστρατευτεί στο θάλαμο COVID, είναι οι εντατικολόγοι που αν και λίγοι δίνουν απίστευτη μάχη, είναι το νοσηλευτικό προσωπικό των τμημάτων COVID και της ΜΕΘ και το προσωπικό της βραχείας νοσηλείας των COVID περιστατικών.

PS. Μετά από προβληματισμό, αποφάσισα να αναρτήσω την ακτινογραφία του συγκεκριμένου ασθενή με COVID-pneumonia. Είναι απίστευτο το πώς αυτός ο άνθρωπος πάλευε στο σπίτι με αυτές τις εκτεταμένες αλλοιώσεις στους πνεύμονες.

ΔΕΙΤΕ ΑΚΟΜΑ

Article featured image

Συνελήφθη ο γιος του ιδρυτή της Mango για τον θάνατο του πατέρα του

Article featured image

Τουρίστας βούτηξε στη Φοντάνα ντι Τρέβι και οι Ιταλοί θύμωσαν [βίντεο]

Article featured image

«Μας ζητήθηκε να αφαιρέσουμε τη σημαία της Παλαιστίνης» [βίντεο]